HitGen's Targeted Protein Degradation Platform integrates DEL, PROTAC synthesis, and biological validation to address historically undruggable targets.

Binary/Ternary complex formation
HitGen has established comprehensive capabilities in developing biochemical, biophysical, and cell biology methodologies, assessing protein degraders' binary binding capability and ternary complex formation capacity from both protein and cellular levels, and evaluating their cell membrane permeability.

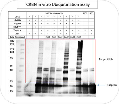
Target Protein Ubiquitination Assessment

Protein Degradation
Traditional Western blot electrophoresis remains the gold-standard method for validating the efficacy of degradation molecules in target protein elimination. To address high-throughput degradation activity screening needs, we recommend implementing High-Content Analysis (HCA) for large-scale degradation profiling. HitGen has established comprehensive HCA platforms covering multiple targets and CRBN neo-substrate systems, enabling rapid evaluation of CRBN-based PROTACs and molecular glues for selectivity, off-target and safety assessment.

Protein Degrader ADME/PK

Protein degrader In Vivo Pharmacodynamic Evaluation

We use cookies to provide a better web experience.
By using our site, you acknowledge our use of cookies and please read our Cookie Notice for
More information